ホワイトニング|つくば市の歯医者|長谷川歯科医院

ホワイトニング
  • HOME
  • ホワイトニング

コーヒー・紅茶・ワイン・カレー・タバコ等による汚れや、歯の黄ばんだ色が気になりませんか?
当院では、ホームホワイトニング(ご家庭で行っていただく漂白)をお勧めしています。
まず歯の表面のクリーニングを行い(これだけでも満足が得られる場合もあります)、歯型をとらせていただいて患者様専用のマウスピースを製作し、ご家庭でその中にホワイトニングジェルを注入し歯に装着していただきます。
ホワイトニング効果には個人差があり、すぐに効果がある方、ゆっくり効果がある方、変化がない方と様々ですが、通常、2週間程度でホワイトニング効果が表れ、エナメル質の表面が自然な透明感のある白さに変わります。ほかにも、ウォーキングブリーチ法(神経が死んでしまって変色している歯の漂白)も行っていますので、一本だけの変色が気になる方もご相談ください。

治療前

ウォーキングブリーチ術前

治療後

ウォーキングブリーチ術後

ウォーキングブリーチ術 1歯1回1,650円
(3回~5回ほど施術を行う必要があります。回数には個人差があります。)
ホームホワイトニング術 38,500円



患者さま情報

通常必要とされる治療内容
(どういった検査、診断、治療を行なったのか)
お口の状態を確認し、ご要望に応じてウォーキングブリーチを行いました。
費用等に関する事項 料金:1,650円
治療期間:3日
治療回数:3回
治療等の主なリスク、副作用等 術後、ひりひりしたり違和感を覚えたりすることがあります。
患者さまの具体的な情報 20代 女性

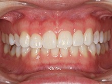
治療前

ホームホワイトニング術前

治療後

ホームホワイトニング術後

患者さま情報

通常必要とされる治療内容
(どういった検査、診断、治療を行なったのか)
お口の状態を確認し、ご要望に応じてホームホワイトニングを行いました。
費用等に関する事項 料金:38,500円
治療期間:2週間
治療回数:3回
治療等の主なリスク、副作用等 ホワイトニング剤の影響で知覚過敏が起こるケースがあります。
患者さまの具体的な情報 40代 女性